Leucodistrofias
Las leucodistrofias son un grupo de enfermedades genéticas raras que afectan la mielina, una sustancia grasa que recubre y protege...
Las leucodistrofias son un grupo de enfermedades genéticas raras que afectan la mielina, una sustancia grasa que recubre y protege...
El cáncer de estómago, también conocido como cáncer gástrico, es una enfermedad en la que se forman células malignas en...
La hiperplasia suprarrenal congénita (HSC) es un conjunto de trastornos hereditarios que afectan la función de las glándulas suprarrenales. Estas...
El síndrome de Guillain-Barré (SGB) es un trastorno neurológico poco frecuente en el que el sistema inmunológico del cuerpo ataca...
El cáncer de mama es una enfermedad en la que las células de la mama comienzan a crecer de forma...
El trastorno obsesivo-compulsivo (TOC) es un trastorno mental caracterizado por la presencia de obsesiones, compulsiones o ambas, que interfieren significativamente...
La hemofilia es un trastorno genético poco común que afecta la capacidad de la sangre para coagularse correctamente. Las personas...
La esclerosis lateral amiotrófica, conocida como ELA, es una enfermedad neurodegenerativa grave que afecta a las células nerviosas del cerebro...
La pancreatitis es la inflamación del páncreas, un órgano vital que participa en la digestión y en la regulación del...
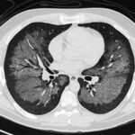
La aspergilosis pulmonar es una infección respiratoria causada por hongos del género Aspergillus, especialmente Aspergillus fumigatus. Este hongo es común...