Neumonía por aspiración
La neumonía por aspiración es una infección pulmonar que ocurre cuando material extraño entra en las vías respiratorias y llega a los pulmones. Este material puede ser comida, líquidos, saliva o contenido gástrico. Cuando estas sustancias alcanzan los pulmones, pueden causar irritación directa, inflamación o infección bacteriana.
Qué causa la aspiración
La aspiración sucede cuando los mecanismos normales de protección de las vías respiratorias fallan. Estos mecanismos incluyen la deglución adecuada, el reflejo de la tos y el cierre de la vía aérea. La aspiración es más común en personas que presentan:
– Disfagia (dificultad para tragar).
– Trastornos neurológicos como accidente cerebrovascular, Parkinson o demencia.
– Disminución del nivel de conciencia por alcohol, sedantes o anestesia.
– Reflujo gastroesofágico severo.
– Vómitos recurrentes.
– Uso incorrecto de sondas nasogástricas.
Diferencia entre aspiración y neumonitis por aspiración
Es importante distinguir dos situaciones:
- Neumonitis química por aspiración: ocurre cuando el contenido gástrico (muy ácido) irrita los pulmones sin que haya infección inicial. Se presenta con inflamación intensa.
- Neumonía por aspiración: se produce cuando microorganismos ingresan a los pulmones con el material aspirado, generando infección. En muchos casos, ambas condiciones se mezclan.
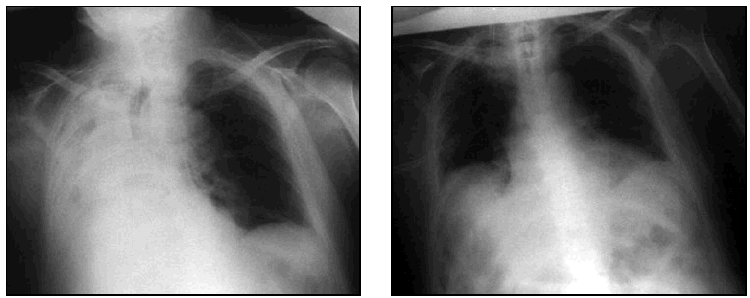
Zonas del pulmón afectadas
Las áreas más comprometidas suelen ser los lóbulos inferiores, especialmente el lóbulo inferior derecho, debido a la anatomía de la vía aérea. Sin embargo, la localización varía según la postura en el momento de la aspiración:
– En posición supina: segmentos posteriores de los lóbulos superiores o superiores de los lóbulos inferiores.
– En posición vertical: lóbulos inferiores.
Síntomas
Los síntomas pueden aparecer de forma inmediata o progresiva:
– Fiebre.
– Tos productiva con esputo purulento o maloliente.
– Dificultad para respirar.
– Dolor torácico.
– Sibilancias o estertores al auscultar.
– En casos graves, cianosis o signos de insuficiencia respiratoria.
Cuando el contenido aspirado contiene bacterias anaerobias, el esputo puede tener olor fétido y puede formarse un absceso pulmonar o empiema.
Factores de riesgo
– Edad avanzada.
– Enfermedades neurológicas.
– Trastornos de la deglución.
– Enfermedad por reflujo gastroesofágico.
– Consumo excesivo de alcohol.
– Sedación o anestesia reciente.
– Mala higiene oral.
– Debilidad general o inmovilidad prolongada.
Diagnóstico
Se basa en la historia clínica y estudios como:
– Radiografía de tórax, que muestra infiltrados en zonas dependientes de la gravedad.
– Tomografía, cuando se sospechan complicaciones.
– Cultivo de esputo, broncoscopia en casos específicos.
– Evaluación de deglución en pacientes con aspiración repetida.
Tratamiento
El manejo depende del tipo y gravedad:
– Soporte respiratorio: oxígeno y manejo de secreciones.
– Antibióticos: dirigidos contra bacterias anaerobias y flora orofaríngea. Las opciones comunes incluyen ampicilina-sulbactam, clindamicina o amoxicilina-clavulanato. En casos severos, se emplean esquemas intravenosos de amplio espectro.
– En neumonitis química sin infección inicial: la mejoría suele darse con soporte sin antibióticos, aunque muchos médicos los incluyen si hay duda.
– Tratamiento de complicaciones: drenaje de abscesos o empiemas.
– Rehabilitación de deglución en pacientes con disfagia.
Prevención
– Buena higiene oral.
– Evitar comidas o líquidos si hay alteraciones de la conciencia.
– Posición adecuada al comer (sentado y erguido).
– Evaluación profesional de la deglución en personas con riesgo.
– Manejo del reflujo.
– Uso correcto de sondas nasogástricas cuando sean necesarias.
Pronóstico
La evolución depende de la edad, el estado general, la rapidez del tratamiento y las comorbilidades. Puede ser leve o convertirse en una infección grave, especialmente en personas vulnerables.
