Fractura patológica: causas, características y tratamiento
La fractura patológica es aquella que ocurre en un hueso debilitado por una enfermedad subyacente, con frecuencia tras un traumatismo mínimo o incluso sin ningún tipo de impacto significativo. A diferencia de las fracturas traumáticas, que requieren una fuerza considerable para romper un hueso sano, las fracturas patológicas aparecen porque la estructura ósea ha perdido su resistencia y se vuelve frágil debido a procesos anormales que alteran su composición y capacidad de soportar carga.
Estas fracturas representan un signo clínico importante, ya que suelen ser la manifestación inicial de enfermedades óseas o sistémicas que comprometen la integridad del esqueleto. Detectarlas y tratarlas adecuadamente no solo implica reparar el hueso fracturado, sino también abordar la causa que lo debilitó.
Causas principales
Las fracturas patológicas pueden originarse por diversas condiciones que afectan la fortaleza del hueso:
- Tumores óseos primarios o metastásicos: el cáncer es una de las causas más frecuentes. Cánceres como el de mama, pulmón, próstata, riñón o tiroides pueden metastatizar al hueso, destruyendo su estructura.
- Osteoporosis: la disminución de la densidad mineral ósea es una causa común, especialmente en personas mayores, lo que aumenta el riesgo de fracturas con mínimos esfuerzos.
- Osteomielitis: infecciones óseas crónicas pueden debilitar la estructura del hueso.
- Enfermedades metabólicas: como el hiperparatiroidismo, la osteomalacia o la enfermedad de Paget, que alteran la remodelación ósea.
- Trastornos genéticos: por ejemplo, la osteogénesis imperfecta, en la cual los huesos son extremadamente frágiles.
- Quistes óseos o lesiones benignas: aunque no cancerosos, pueden debilitar el hueso y facilitar la fractura.
Características clínicas
Los signos y síntomas de una fractura patológica son similares a los de cualquier fractura, pero con algunos aspectos particulares:
- Dolor óseo persistente o progresivo antes del evento fracturario, lo que sugiere la presencia de una enfermedad subyacente.
- Fractura con un traumatismo mínimo o ausente, como al girar el cuerpo o al realizar actividades cotidianas.
- Deformidad, inflamación, hematoma y limitación del movimiento en el área afectada.
- En casos de lesiones metastásicas, puede haber síntomas sistémicos como pérdida de peso, fiebre, fatiga o signos propios del cáncer primario.
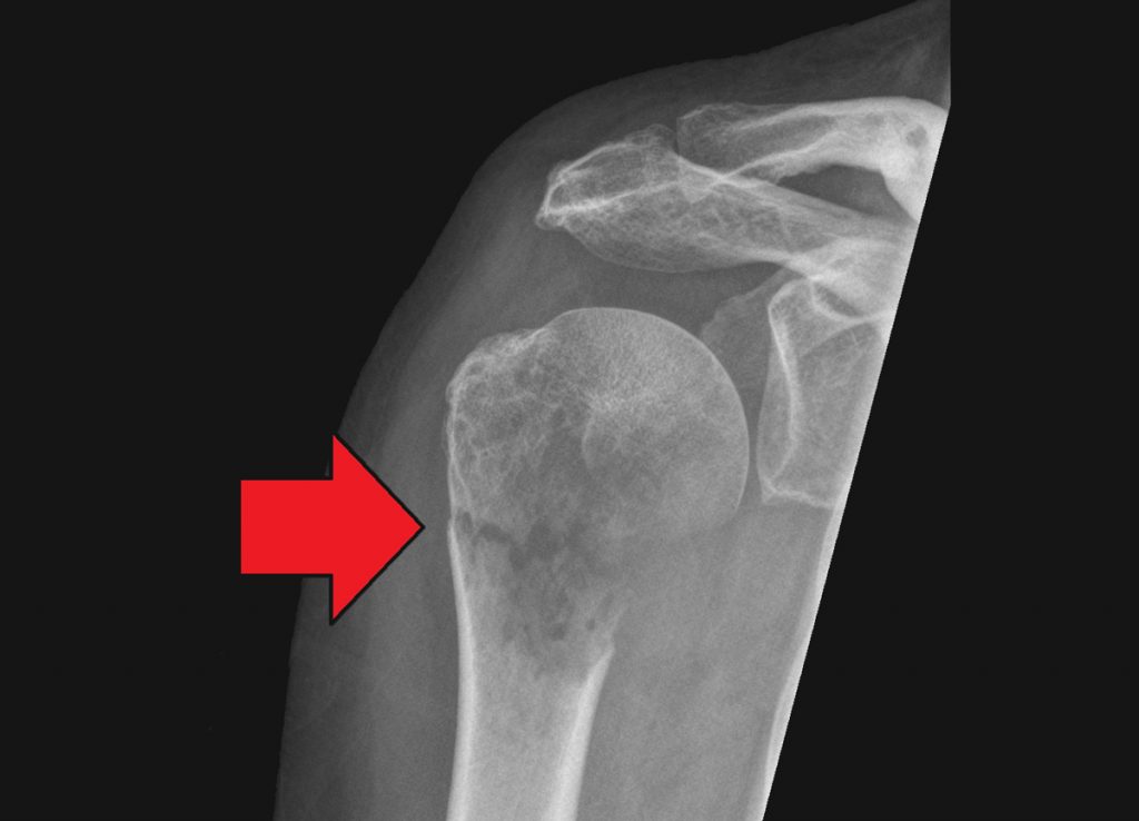
Las localizaciones más comunes son los huesos largos (fémur, húmero), las vértebras y las costillas, aunque cualquier hueso puede verse afectado dependiendo de la enfermedad causante.
Diagnóstico
El diagnóstico de una fractura patológica no se limita a confirmar la fractura, sino que busca identificar la enfermedad que debilitó el hueso. Los pasos suelen incluir:
- Historia clínica y examen físico detallado: incluyendo antecedentes de dolor previo, enfermedades crónicas o cáncer.
- Estudios de imagen:
- Radiografía: puede mostrar lesiones líticas (destructivas), escleróticas (densas) o mixtas.
- Tomografía computarizada (TC) o resonancia magnética (RM): para evaluar la extensión del daño óseo y de tejidos blandos.
- Gammagrafía ósea o PET-CT: útil en casos de sospecha de metástasis.
- Estudios de laboratorio: niveles de calcio, fósforo, fosfatasa alcalina y marcadores tumorales, según el caso.
- Biopsia ósea: en situaciones en que se sospecha una lesión tumoral primaria o metastásica.
Tratamiento
El manejo de las fracturas patológicas tiene dos objetivos fundamentales: tratar la fractura en sí y controlar la enfermedad subyacente. La estrategia terapéutica dependerá de la causa, el estado general del paciente y el hueso afectado.
- Tratamiento ortopédico:
- Inmovilización, reducción y fijación interna o externa para estabilizar la fractura.
- En casos graves, puede requerirse prótesis o reemplazo articular.
- Tratamiento de la enfermedad de base:
- En cáncer metastásico: quimioterapia, radioterapia, terapia hormonal o dirigida.
- En osteoporosis: suplementos de calcio y vitamina D, bifosfonatos o denosumab.
- En enfermedades metabólicas: corrección de desequilibrios hormonales o nutricionales.
- Rehabilitación: fisioterapia para recuperar la movilidad y la fuerza muscular tras la consolidación ósea.
Pronóstico y complicaciones
El pronóstico depende en gran medida de la causa de la fractura. Si se trata de osteoporosis, el tratamiento oportuno puede prevenir nuevas fracturas y mejorar la calidad de vida. En casos de metástasis ósea, el pronóstico depende del control del cáncer primario, aunque las fracturas patológicas suelen indicar enfermedad avanzada.
Las complicaciones potenciales incluyen consolidación retardada o no unión del hueso, pérdida funcional del miembro afectado, dolor crónico y recurrencia de fracturas si la enfermedad de base no se trata adecuadamente.
Prevención
La prevención implica el control temprano de las enfermedades que debilitan el hueso. Esto incluye:
- Realizar densitometrías óseas periódicas en personas de riesgo.
- Mantener una dieta adecuada en calcio y vitamina D.
- Tratar de forma temprana infecciones óseas y trastornos hormonales.
- En pacientes oncológicos, utilizar tratamientos preventivos contra la resorción ósea.
Conclusión
La fractura patológica es un evento clínico que revela un problema profundo en la salud ósea y sistémica. No se trata solo de reparar un hueso roto, sino de identificar y tratar la causa que lo debilitó para prevenir nuevos episodios. Con un diagnóstico temprano, un tratamiento integral y un enfoque multidisciplinario, es posible mejorar la calidad de vida de los pacientes y reducir las complicaciones asociadas a este tipo de fracturas.
